Rentgenodiagnostyka

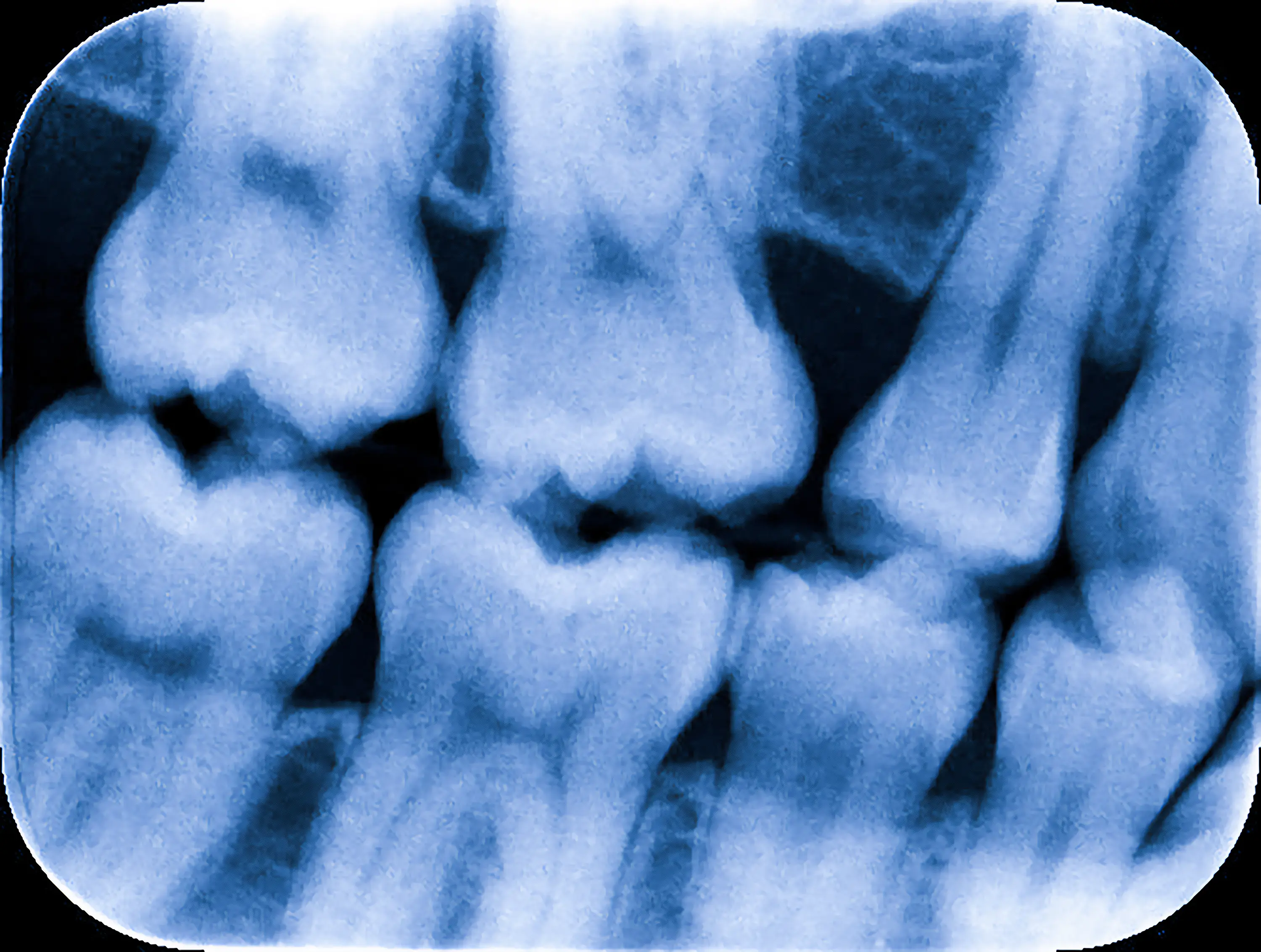
Rentgenodiagnostyka to kluczowy element nowoczesnej stomatologii, pozwalający na precyzyjną ocenę stanu zębów, kości szczęk oraz otaczających tkanek. W naszym gabinecie wykorzystujemy radiowizjografię wysokiej rozdzielczości (RVG) – cyfrowe, punktowe zdjęcie RTG, które gwarantuje szczegółowe i czytelne obrazy. Dzięki tej technologii możliwe jest uzyskanie natychmiastowych wyników oraz dokładnych diagnoz, przy jednoczesnym znacznym ograniczeniu dawki promieniowania, co czyni badanie bezpieczniejszym dla pacjenta.

RVG punktowe umożliwia diagnozowanie próchnicy, zmian zapalnych, torbieli, a także ocenę stanu korzeni zębów i struktury kości. Jest niezastąpionym narzędziem w planowaniu zabiegów stomatologicznych, takich jak leczenie kanałowe czy chirurgia stomatologiczna.

W naszym gabinecie stomatologicznym dokonujemy również profesjonalnej analizy zdjęć panoramicznych oraz tomografii komputerowej 3D, wykonanych we wskazanym przez nas punkcie diagnostycznym. Dostarczają one kompleksowego obrazu całego uzębienia i otaczających struktur. Ich analiza pozwala na precyzyjne planowanie zaawansowanych procedur, takich jak implantologia, leczenie protetyczne czy zabiegi chirurgiczne.

Rentgenodiagnostyka